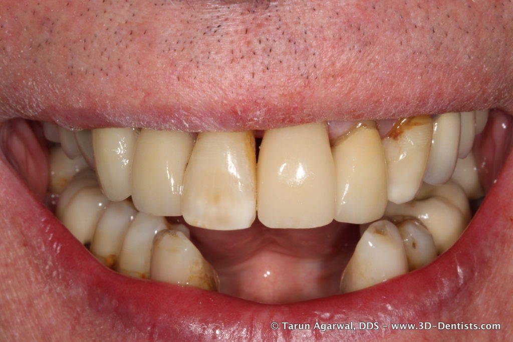
implant supported bridge lower anterior The challenge of the lower anterior implant bridge – 3d dentists

If you are looking for Implant-Supported Bridges – iSmile Dental you’ve visit to the right page. We have 35 Pictures about Implant-Supported Bridges – iSmile Dental like Dental Implant Supported Bridge Birmingham - St. Paul’s Square Dental, How does an Implant-Supported Bridge work? (Anterior-CAD/CAM) - Hunter and also Discover the Advantages of an Implant-Supported Bridge. Here it is:

Implant-Supported Bridges – ISmile Dental

Implant-Supported Bridges – iSmile Dental www.i-smiledental.comimplant bridges tooth

Implant Supported Bridges – Rokeby Dental Surgery & Implant Centre

Implant Supported Bridges – Rokeby Dental Surgery & Implant Centre rokebydental.com.auimplant supported bridges

Implant-Supported Bridge (Anterior- CAD/CAM) - YouTube

Implant-Supported Bridge (Anterior- CAD/CAM) - YouTube www.youtube.comThe Challenge Of The Lower Anterior Implant Bridge – 3D Dentists

The Challenge of the Lower Anterior Implant Bridge – 3D Dentists 3d-dentists.comImplant Supported Fixed Bridge Transparent View Stock Illustration

Implant Supported Fixed Bridge Transparent View Stock Illustration www.shutterstock.comImplant Supported Bridge - Parker Periodontics And Implant

Implant Supported Bridge - Parker Periodontics and Implant www.parkerperio.comimplant bridge supported

Maxillary Anterior Bridge

Maxillary Anterior Bridge mavink.comDiscover The Advantages Of An Implant-Supported Bridge

Discover the Advantages of an Implant-Supported Bridge harrisburgdental.comImplant Screw Retained Bridge - Shine Dental Associates | Syosset, NY

Implant Screw Retained Bridge - Shine Dental Associates | Syosset, NY www.shinedentalgroup.comimplant retained screw implants bridges

Immediate Implant Bridge Lower Jaw Front Teeth

Immediate Implant Bridge Lower Jaw Front Teeth burbankdentalimplants.comSupporting Dental Bridges With Implants | Santa Rosa, CA

Supporting Dental Bridges With Implants | Santa Rosa, CA santarosadentalimplants.comDental Implant Supported Bridge Birmingham - St. Paul’s Square Dental

Dental Implant Supported Bridge Birmingham - St. Paul’s Square Dental dazzlingsmile.co.ukimplant supported birmingham bridges square

The Challenge Of The Lower Anterior Implant Bridge – 3D Dentists

The Challenge of the Lower Anterior Implant Bridge – 3D Dentists 3d-dentists.combridge lower implant anterior 3d dentists challenge cbct cosmetics posted

Implant-Supported Bridge (Anterior- Impression) - YouTube

Implant-Supported Bridge (Anterior- Impression) - YouTube www.youtube.comImplant Supported Fixed Bridge. Medically Accurate 3D Illustration

implant supported fixed bridge. Medically accurate 3D illustration www.alamy.comWhat Is An Implant-supported Dental Bridge? - Smiles 4 Grant Park

What is an implant-supported dental bridge? - Smiles 4 Grant Park smiles4grantpark.comimplant supported bridges dentist

Implant Bridges In The Anterior

Implant bridges in the anterior www.rizdentist.comimplant bridges impression verification definitive jig

Know In Detail About Dental Implant Supported Bridge

Know In Detail About Dental Implant Supported Bridge www.lubbockimplants.comFull Arch Fixed Implant Supported Bridge

Full arch fixed implant supported bridge www.zahnarzt-hietzing.atimplant arch implants dentures bridges removable hyderabad

Multiple Tooth Dental Implants

Multiple Tooth Dental Implants www.1888implant.comdental bridge tooth implant multiple implants lower

The Challenge Of The Lower Anterior Implant Bridge – 3D Dentists

The Challenge of the Lower Anterior Implant Bridge – 3D Dentists 3d-dentists.comGolden Peak Dental | Educational Videos | Implant-Supported Bridge

Golden Peak Dental | Educational Videos | Implant-Supported Bridge www.goldenpeakdental.comimplant

Implant Supported Dentures Vs. Bridges | Jamaica Plain & Malden

Implant Supported Dentures vs. Bridges | Jamaica Plain & Malden www.mysmiles.netDental Implant Supported Bridges CT | Smile Dental Center

Dental Implant Supported Bridges CT | Smile Dental Center www.smiledentalcenterct.comimplant supported bridges implants

Implant Supported Fixed Bridge Medically Accurate Stock Illustration

Implant Supported Fixed Bridge Medically Accurate Stock Illustration www.shutterstock.comA Guide To Implant-Supported Bridge - Dr Paulo Pinho

A Guide to Implant-Supported Bridge - Dr Paulo Pinho www.drpaulopinho.com.auimplant tooth dental implants bridge stem supported bridges cell hudson teeth guide ancient dr grow pinho paulo dentures sensitivity around

Implant Bridges In The Anterior

Implant bridges in the anterior www.rizdentist.comanterior implant stent

Implant Supported Fixed Bridge. Transparent View. Medically Accurate 3D

Implant supported fixed bridge. Transparent view. Medically accurate 3D www.agefotostock.comWhich Dental Implant Is Best For You? - Willow Pass Dental Care

Which Dental Implant Is Best for You? - Willow Pass Dental Care willowpassdentalcare.comimplant supported implants

The Challenge Of The Lower Anterior Implant Bridge – 3D Dentists

The Challenge of the Lower Anterior Implant Bridge – 3D Dentists 3d-dentists.comImplant Supported Bridge – Sunnyvale Dental Lab & Milling Center

Implant Supported Bridge – Sunnyvale Dental Lab & Milling Center www.sunnyvaledentallab.comimplant supported dental

Implant Supported Fixed Bridge Medically Accurate Illustration Stock

Implant Supported Fixed Bridge Medically Accurate Illustration Stock depositphotos.comHow Does An Implant-Supported Bridge Work? (Anterior-CAD/CAM) - Hunter

How does an Implant-Supported Bridge work? (Anterior-CAD/CAM) - Hunter hunterdental.com.auImplant-Supported Bridges | Dental Implants | Kelowna Dental Centre

Implant-Supported Bridges | Dental Implants | Kelowna Dental Centre www.kelowna-dental-centre.caMultiple Dental Implant Tooth Replacement

Multiple Dental Implant Tooth Replacement rochesterdentalimplants.comimplant dental anterior bridge multiple tooth teeth front replacement upper

Implant-supported bridge (anterior- impression). The challenge of the lower anterior implant bridge – 3d dentists. Multiple dental implant tooth replacement