lower anterior implant bridge Implant supported bridges
If you are searching about 2-lower-implant-bridge-on-4-implants you’ve visit to the right place. We have 35 Images about 2-lower-implant-bridge-on-4-implants like The Challenge of the Lower Anterior Implant Bridge – 3D Dentists, The Challenge of the Lower Anterior Implant Bridge – 3D Dentists and also The Challenge of the Lower Anterior Implant Bridge – 3D Dentists. Here you go:
2-lower-implant-bridge-on-4-implants
northlandprosthodontics.co.nzLower Anterior Multi-unit Implant Bridge
www.linkedin.comSpear Releases Two Anterior Bridge Patient Education Videos | Patient
www.pinterest.compatient spear bridges dentistry releases
Implant Supported Bridges | Stuart Prosthetic Dentistry
www.stuartpro.comimplant supported bridge bridges model dental teeth crowns natural implants replaces nothing gets come close but
Implant Anterior Lower Bridge After - Barry Holmes
drbarryholmes.comimplant
Implant Supported Bridge – Red Lodge Dental Surgery
redlodgedentalsurgery.co.ukMultiple Teeth Implants – Dr SS Pandey
drsspandey.inAnterior Implant Bridge
mavink.comImplant Bridges In The Anterior
www.rizdentist.comimplant bridges
Dental Bridge Stockbridge, GA - Atlanta, GA - Dental Group South, Inc.
What Are Dental Crowns And Dental Bridges? | South Gables Dental
southgablesdental.combridges dental crowns implant supported work dentistry dentist removed
Prettau Zirconia Implant Bridge | Teeth Tomorrow Dental Lab
www.dentalproductshopper.comimplant zirconia bridge prettau dental teeth lab
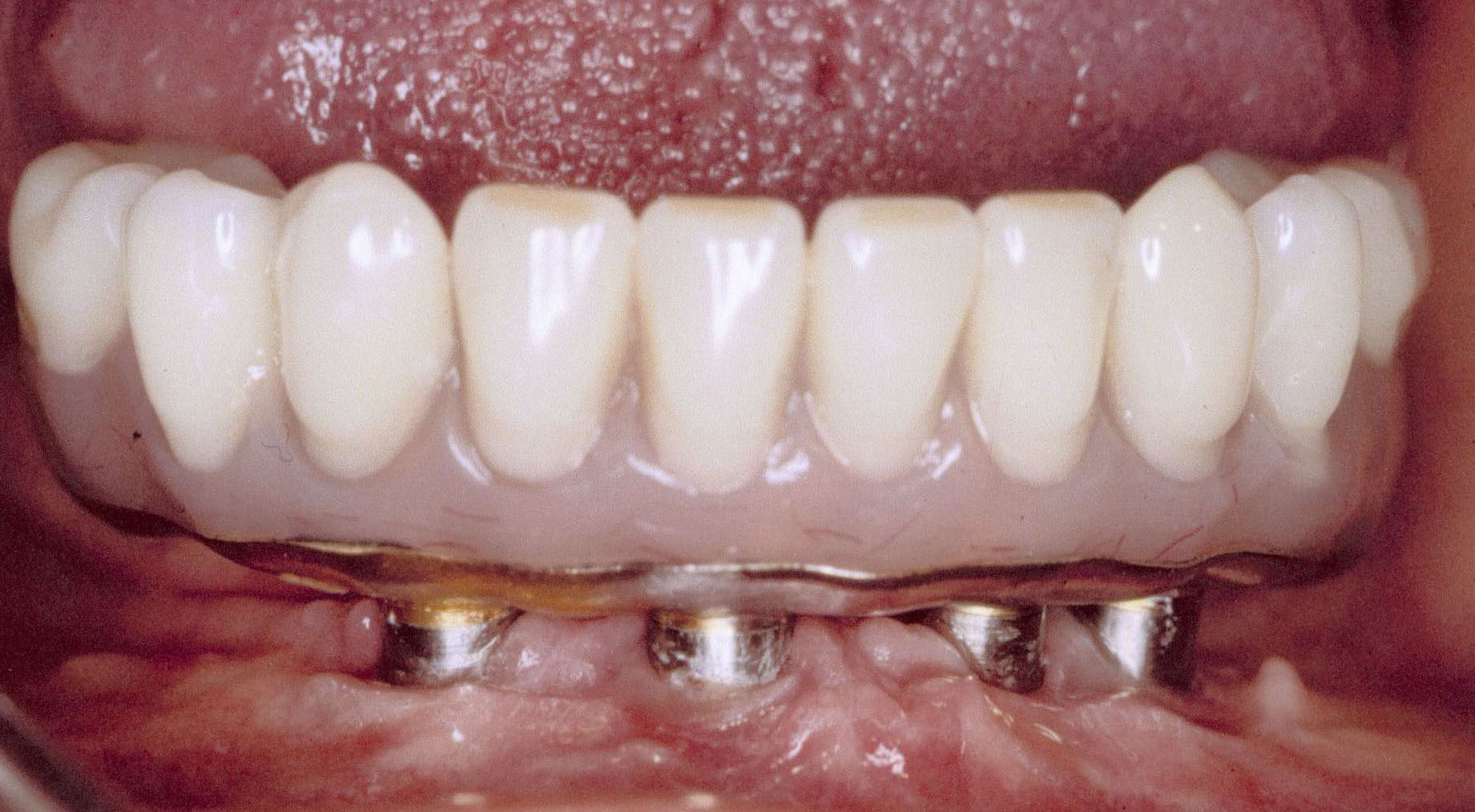
The Challenge Of The Lower Anterior Implant Bridge – 3D Dentists
3d-dentists.comFull Arch Fixed Implant Supported Bridge
www.zahnarzt-hietzing.atimplant arch implants dentures bridges removable hyderabad
Immediate Implant Bridge Lower Jaw Front Teeth
burbankdentalimplants.comAnterior Dental Bridges | Prosthodontist Houston, TX | Alexandra Garcia
www.dralexandragarcia.comImplant Bridges In The Anterior
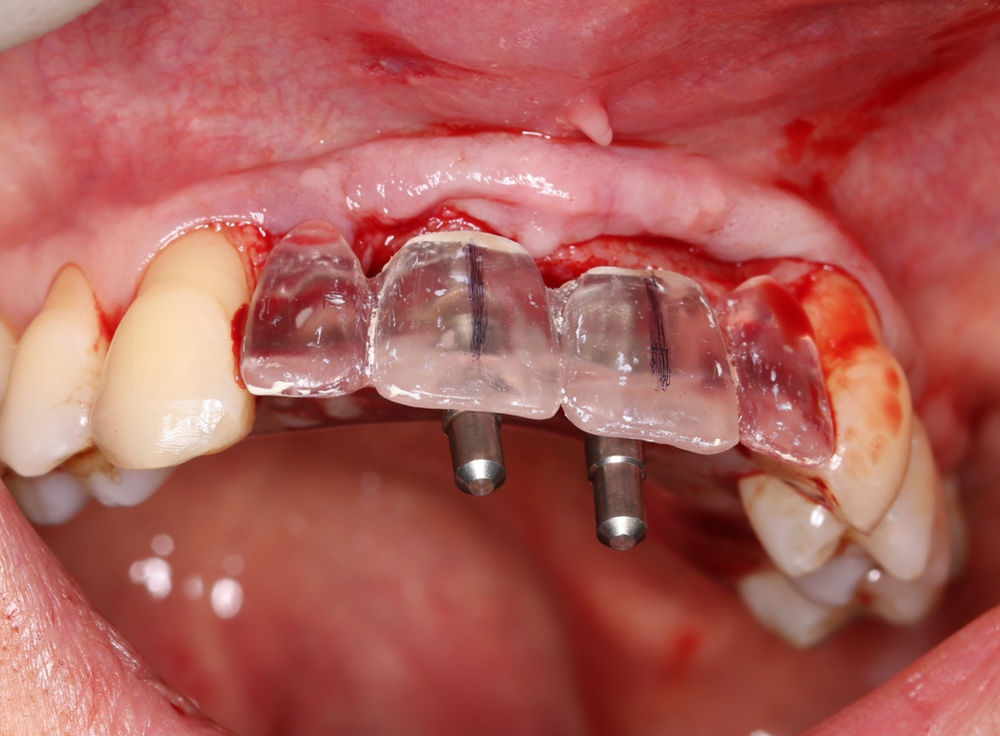
www.rizdentist.comimplant bridges impression verification definitive jig
Implant Bridges In The Anterior
www.rizdentist.comanterior implant stent
The Challenge Of The Lower Anterior Implant Bridge – 3D Dentists
3d-dentists.comProsthetic Options On Implants | Pocket Dentistry
pocketdentistry.combridge anterior lower implants unit prosthetic options ceramic inserted fig four support only two pocketdentistry
Dental Implant Bridges In New Port Richey | Dental Implant Bridges Near You
www.radiantdentistryfl.comThe Challenge Of The Lower Anterior Implant Bridge – 3D Dentists
3d-dentists.comImplant Bridges In The Anterior
www.rizdentist.comimplant bridges
Implant-Supported Bridge (Anterior- Impression) - Cosmetic Dentistry
krdental.comimplant
Golden Peak Dental | Educational Videos | Implant-Supported Bridge
www.goldenpeakdental.comimplant
Dental Bridge
www.koyfmandental.comimplant bridges supported
Implant Screw Retained Bridge - Smile And Chew Confidently
www.islanddentalassociates.comimplant retained screw implants arch
Anterior 6 Unit Bridge - Dr. Nicholas Dovey, DMD
nickdovey.weebly.combridge anterior unit 27 22 preps weebly
All-on-4 Zirconia Bridges | Orange, CA | Dr. Christopher J Fotinos
drfotinos.comWhat Is An Implant Bridge? | Long Beach, NY | William J. Kobza, DDS
 www.williamkobzadds.comimplants bridge dental implant parallel nobel teeth cc ray forest multiple bone abutments premiere connected long cement screws small
The Challenge Of The Lower Anterior Implant Bridge – 3D Dentists
3d-dentists.comMaxillary Anterior Bridge
mavink.comDental Crowns Bridges Advanced Dentistry Of Richmond
advanceddentistryofrichmond.comDental Implant Supported Bridge Birmingham - St. Paul’s Square Dental
dazzlingsmile.co.ukimplant supported birmingham bridges square
Zirconium Bridge
ar.inspiredpencil.comImplant bridges in the anterior. Implant bridges supported. 2-lower-implant-bridge-on-4-implants